3D重组全层皮肤模型
产品介绍
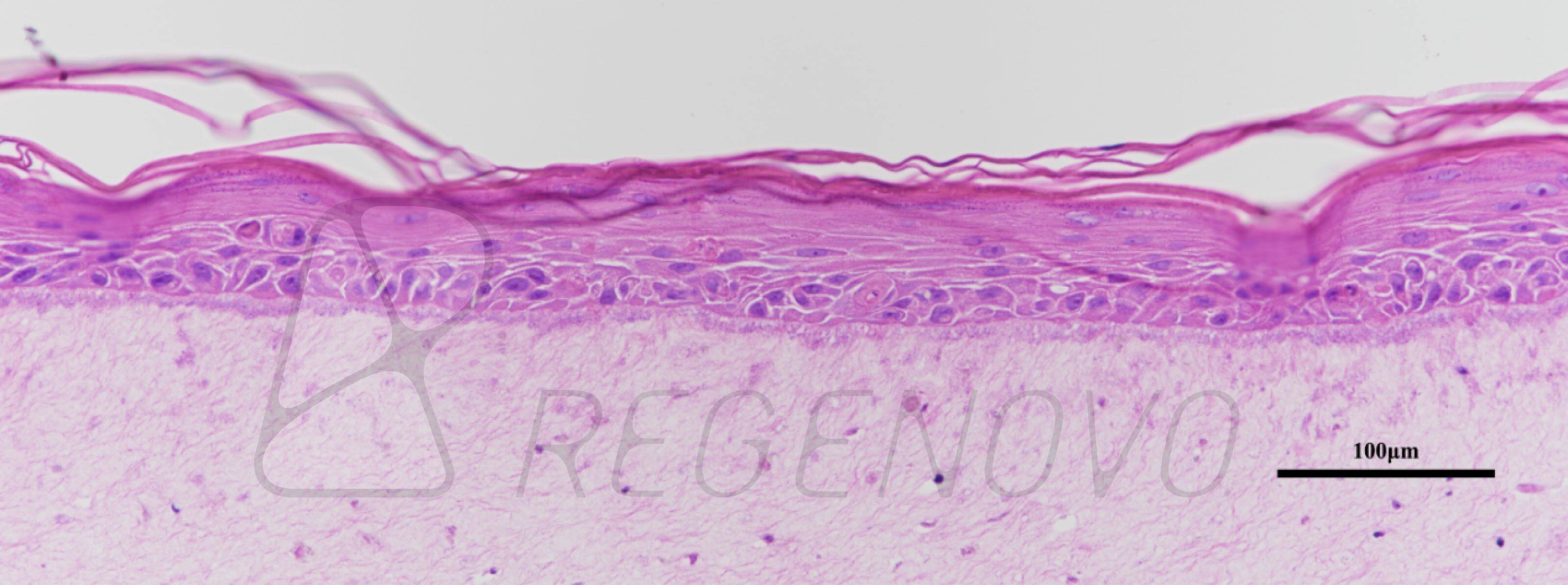
Skinovo-Full 3D打印体外重组全层皮肤模型,是具有表皮层和真皮层结构的双层皮肤模型。该模型具有与人体皮肤高度相似的组织结构和生物功能,可用于化妆品相关功效及药品透皮吸收等方面的检测和研究。



具体应用
基础研究
烧伤皮肤移植与修复机理研究
皮肤发育机理研究
安全性评价
药物经皮吸收检测
功效性评价
化妆品保湿因子功效检测
抗衰老、抗氧化化妆品原料及产品功效检测