首页
产品中心
Bio-Architect
®
系列生物3D打印机
生物3D打印喷头
打印平台
耗材
喷头配套耗材配套
生物墨水配套耗材套件
Skinovo
®
赛肤系列皮肤模型
Micro Liver™ 微肝模型
培养基
RBioink系列生物墨水
Bio-Architect
®
WS
MORE
Bio-Architect
®
SR
MORE
Bio-Architect
®
Saillfish
MORE
Bio-Architect
®
PR
MORE
了解更多
低温喷头 PH-LT
MORE
高温喷头 PH-HT
MORE
常温喷头 PH-NT
MORE
光固化喷头
PH-UVC/ PH-TCUVC
MORE
了解更多
控温平台
MORE
旋转轴打印平台
MORE
负高压打印平台
MORE
了解更多
Bioink Basic
MORE
Bioink PLGA
MORE
Bioink BoneTCP
MORE
Bioink PCL+HAP
MORE
了解更多
针头
MORE
生物墨水仓
MORE
活塞
MORE
生物墨水仓配件
MORE
了解更多
低温喷头耗材套件 PH-LT CKit
常温喷头耗材套件 PH-NT CKit
高温喷头耗材套件 PH-HT CKit
光固化喷头耗材套件 PH-UVC/PH-TCUVC CKit
微滴喷头耗材套件 PH-DL CKit
熔体静电纺丝喷头耗材套件 PH-MES CKit
溶液静电纺丝喷头耗材套件 PH-SES CKit
了解更多
3D重组表皮模型
MORE
3D重组全层皮肤模型
MORE
3D重组黑素皮肤模型
MORE
3D重组角膜模型
MORE
了解更多
Micro Liver™ 3D打印微型肝脏类器官模型
MORE
了解更多
人黑素细胞培养基
MORE
人角质形成细胞培养基
MORE
人体外重组角膜模型培养基
MORE
人体外重组皮肤模型培养基
MORE
了解更多
水凝胶生物墨水耗材套件 Bioink Hydrogel CKit
光固化生物墨水耗材套件 Bioink UVCuring CKit
生物陶瓷墨水耗材套件 Bioink RegenBone CKit
高分子生物墨水耗材套件 Bioink Polymer Ckit
高分子无机复合生物墨水耗材套件 Bioink RegenBone-C Ckit
服务中心
新闻动态
应用展示
关于捷诺飞
公司简介
合作伙伴
联系我们
当前位置:产品中心
3D打印系统化设备
生物3D打印机
生物3D打印喷头
打印平台
耗材
喷头配套耗材套件
生物墨水配套耗材套件
组织工程产品
Skinovo
®
系列皮肤模型
Micro Liver™ 微肝模型
培养基
生物材料(墨水)产品
RBioink生物墨水
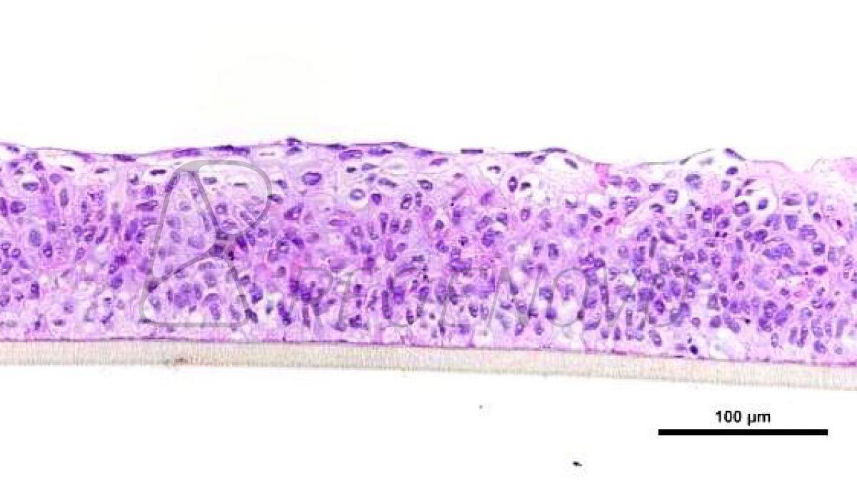
3D重组角膜模型
产品介绍
Skinovo-Ocular是以人源角膜上皮细胞为种子细胞,通过3D打印后在体外诱导分化而成。该模型具有与人类角膜上皮层类似的结构与功能,可用于化妆品的眼刺激性检测。
具体应用
安全性评价
化学品及化妆品眼刺激检测
化学品及化妆品眼刺激等级分类检测
新闻动态
公司新闻
行业新闻
产品中心
生物3D打印机
打印喷头
打印平台
生物墨水
 
耗材
打印喷头耗材套件
生物墨水耗材套件
服务中心
打印服务
关于我们
公司简介
合作客户
联系方式
联系我们
TEL
: 0571-8578 8536 (市场热线)
+86 15268103264(技术专员)
FAX
: 0571-2896 9186
MAIL
: consult@regenovo.com
ADD
: 浙江省杭州市钱塘区下沙街道呈瑞街259号
Copyright © 2019-2020 版权所有:杭州捷诺飞生物科技股份有限公司
浙ICP备14009124号-1