【导读】
皮肤是人体最大的器官,而皮肤病是各年龄段人群中最为常见的一类疾病,严重影响人们的健康和生活质量。当前,治疗、缓解皮肤病的主要手段是各类药物。与其他药物开发所面临的困境类似,皮肤病相关药物的研发也存在投入高、耗时长、成功率低等诸多艰难。因此,在临床前研究的初始阶段,选取准确且合适的体外模型至关重要。最近,《Pharmaceutics》杂志刊发了题为“Bioengineered Efficacy Models of Skin Disease: Advances in the Last 10 Years”的综述,就近十年来,皮肤病相关体外模型研究进展做一总结。
文章指出,虽然2D细胞模型在现代生物学中有着举足轻重的作用,但它们不能准确再现体内复杂的3D微环境,这会对细胞增殖、细胞分化、细胞的力学反应和细胞存活造成显著影响。动物模型由于其解剖生理结构与人体不同及种属差异,在动物模型中观察到的表型和表现,往往与人类之间存在极大的差异。
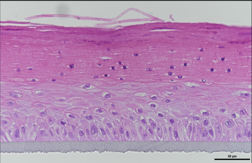
由于2D细胞模型和动物模型的种种局限,在药物临床前试验中,3D模型已成为越来越有吸引力的替代方法。皮肤病3D体外模型,通常是基于人体3D皮肤模型构建而成。人体3D皮肤模型与人类皮肤具有相似的组织结构(图1)和生物化学、生物力学特性,这些在皮肤病的发病机制中起着关键作用。皮肤病的致病原因多种多样,如接触外源性刺激、遗传因素、免疫反应等;涉及到的细胞种类也很多,如表皮层的角质形成细胞(KCs)、真皮层成纤维细胞(Fbs)、黑色素细胞以及T淋巴细胞、朗格汉斯细胞、树突状细胞(DCs)等免疫细胞。因此在进行皮肤病模型构建时,为了更加准确的阐明其发病机制,需要进行多因素、多参数的精准调控。论文通过文献检索,列举了现有皮肤病体外模型(表1)。
图1 利用生物3D打印技术构建的人体3D皮肤模型——Skinovo®-Epi

表1 基于人体3D皮肤模型构建的皮肤病模型
目前已有多种方法用于人体3D皮肤模型及相关皮肤病模型的构建,最为常见的是人工构建,即研究人员将生物材料和细胞的复合材料混合,手工接种并构建人体3D皮肤模型。这是构建人体3D皮肤模型最简单、最廉价的方法,但它有许多缺点:如结果不易重现,可能因为不同的样本、不同的操作者导致结果不同;再比如,难以精确控制结构的尺寸和几何形状;此外,人工构建还缺乏高通量能力,这些都阻碍了其作为药物开发和测试平台的应用。与传统的人工构建相比,生物3D打印是一个十分有利的手段。生物3D打印可高精度的进行时间和空间控制,使研究人员可以精确、高通量的生成各种复杂结构,为准确构建复杂的体外皮肤病模型提供了技术支撑。图2所示为利用3D打印技术,在体外构建的银屑病表皮模型,其与银屑病患者具有类似的组织结构特征:角质层增厚、角化不全、颗粒层消失等。
图2 利用生物3D打印技术构建的银屑病表皮模型——Skinovo®- Psoriasis
不断发展的技术使研究人员能够创建越来越复杂的皮肤模型,并将其用于皮肤病的研究。虽然人工构建3D皮肤模型仍然是当下的常见做法,但是利用生物3D打印技术构建结构更加复杂、重现性更强的模型,无疑是此领域的发展趋势。相信随着生命科学技术、生物3D打印技术的发展,皮肤病体外模型将在皮肤病发生发展机制、皮肤病药物研发等领域发挥更大的效力。